Prótesis Fijas
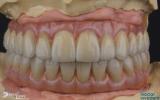
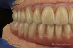
Arcada superior e inferior en metal-cerámica
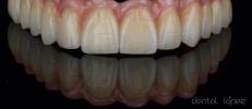
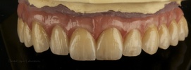
Bi-maxilar en Zirconio monolítico sobre barra de titanio
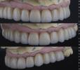
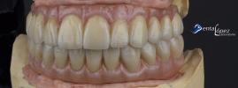
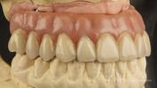
Bi-maxilar en Zirconio-cerámica sobre barra de titanio
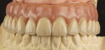
Metal-cerámica
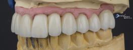
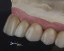
Zirconio monolítico estratificado con barra de titanio
Rehabilitación en metal cerámica
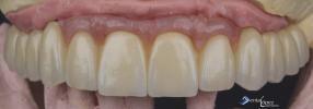
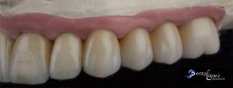
Zirconio Monolítico con barra de titanio
Metal Cerámica
Rehabilitación en tecno med - Compo
Trabajo en composite Nexco de Ivoclar, con TecnoMed de Zirkonzahn.
Rehabilitación en metal cerámica Inline de Ivoclar
Una vez más, sólo lo conseguimos todos juntos. Esperemos que os guste, intentando mejorar cada día un poquito más. Gracias
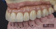
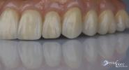
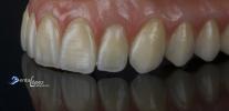
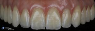
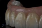
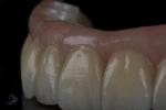
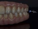
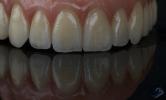
Zirconio Monolítico con carga de cerámica por vestíbulo (06/04/2018)
Bimaxilar, superior en zirconio cerámica e inferior en zirconio resina ( 23/03/2018)
Zirconio Monolítico superior e inferior con carga vestibular de canino a canino (14/03/2018)
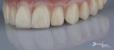
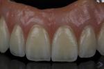
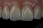
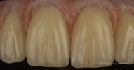
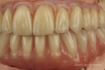
Rehabilitación en Zirconio Cerámica (21/02/2018)
Rehabilitación Prettau (21/11/2017)
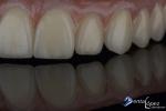
Rehabilitación Zirconio Cerámica (27/10/2017)
Rehabilitación en metal-composite (16/10/2017)
Rehabilitación en metal-composite (16/10/2017)
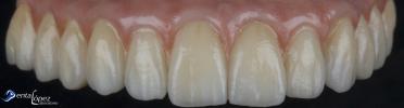
Rehabilitación en Zirconio cerámica (29/09/2017)
Rehabilitación en metal composite - Nexco de Ivoclar (07/09/2017)
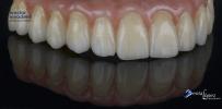
Rehabilitación en zirconio cerámica (27-07-2017)
Rehabilitación en Zirconio Cerámica
Zirconio Composite (06/07/2017)
Inferior en zirconio cerámica (20/06/2017)
All on four rehabilitación superior en zirconio cerámica y provisional inferior (12/05/2017)
Rehabilitación atornillada Prettau (28/03/2017)
Rehabilitación atornillada Prettau






































































































































































































































































































































































































































































































